Metal Braces

Metal braces are a time-tested orthodontic solution for straightening teeth and correcting bite alignment. Our team offers personalized treatment plans tailored to your smile goals.

Metal Braces in Jacksonville, Orange Park, & Starke, FL

Metal braces are durable brackets and wires that gradually move your teeth into proper alignment. Treatment typically lasts 12 to 24 months, with regular adjustments every 4 to 8 weeks. Braces are ideal for correcting crowding, gaps, overbites, underbites, and other alignment issues. Both adults and kids can benefit from braces, but it’s best to see an orthodontist when the teeth and jaws are still developing, typically between the ages of 7 and 17. This enables our team to analyze growth patterns, identify potential issues, and recommend the optimal time to initiate treatment.

We understand that a lot of patients worry about how orthodontic treatment might affect their daily routine, from what they eat to how they talk or smile. That’s why our office offers a variety of orthodontic options, including traditional braces, clear braces, and nearly invisible aligners. With so many choices, there’s always a treatment that suits your lifestyle, whether you’re a busy professional, an active teenager, or someone seeking a more discreet option.

Our orthodontist, Dr. Labib, customizes each treatment plan to your unique needs, ensuring long-lasting, beautiful results.

Receive a complimentary orthodontic consultation during November. Book now!

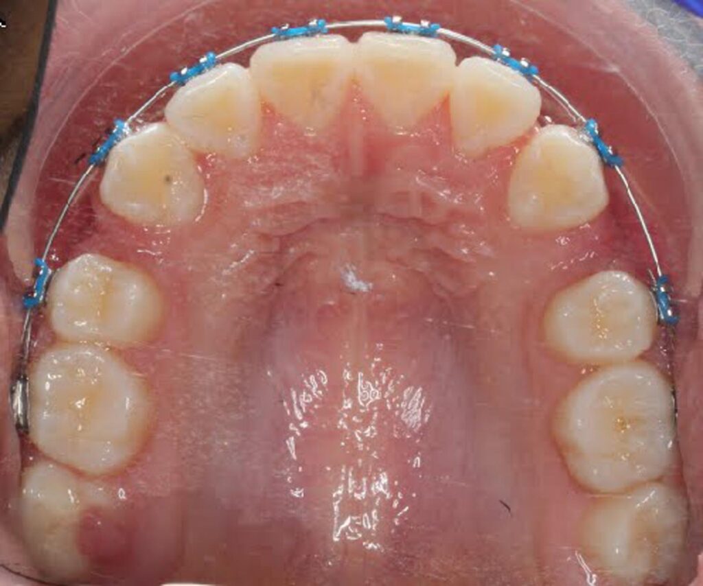
Metal braces in Jacksonville, FL at Normandy Lake Dentistry.

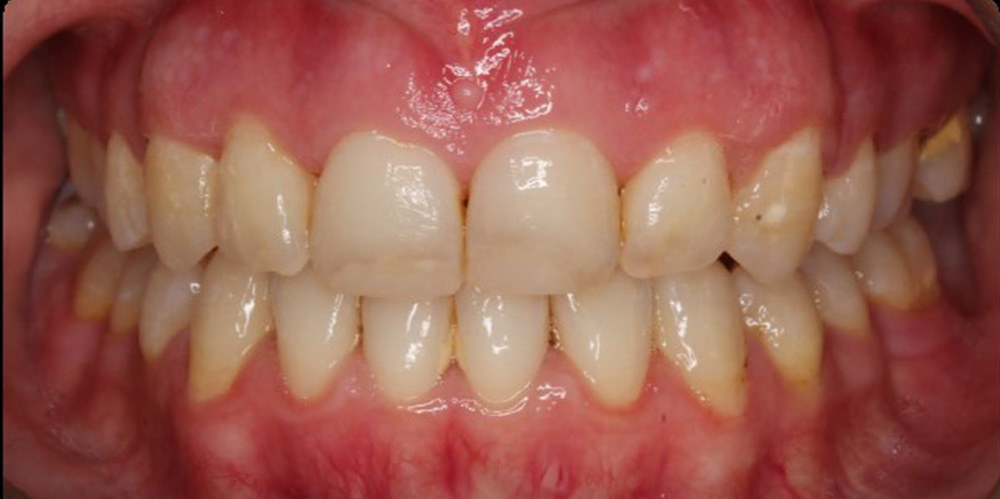
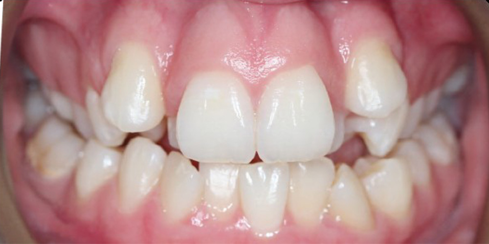
Before

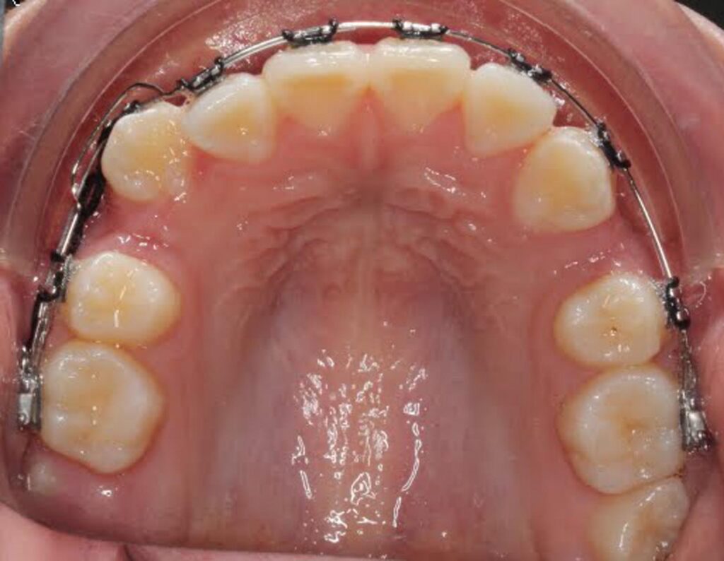
After

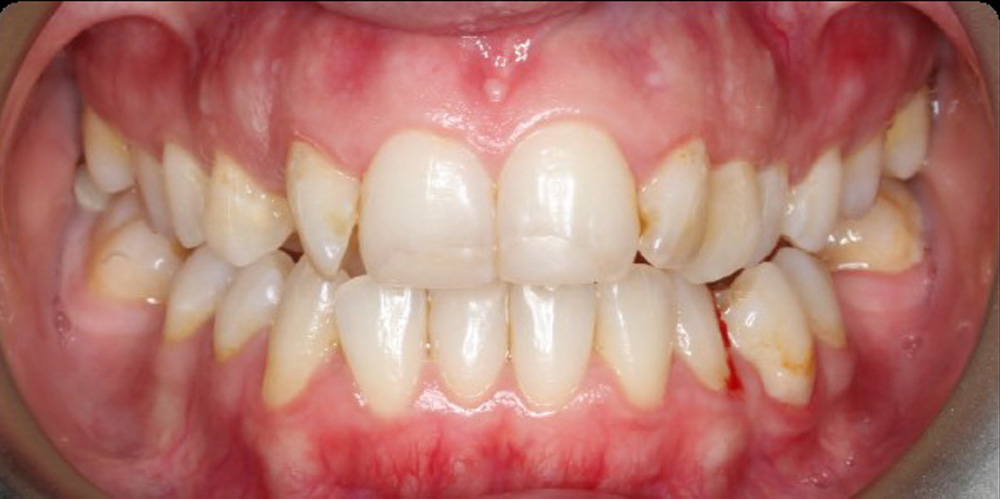
Before

After

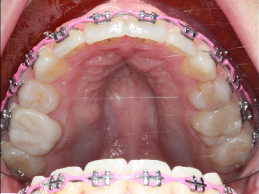
Before

After

Before

After

Before

After

Before

After

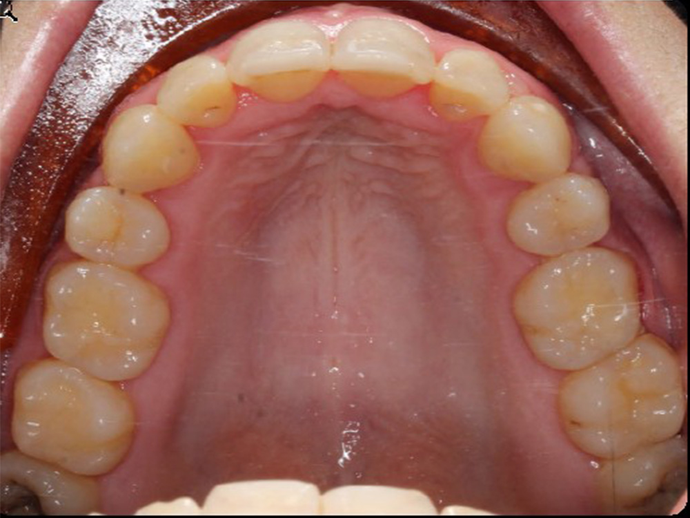
Before

After

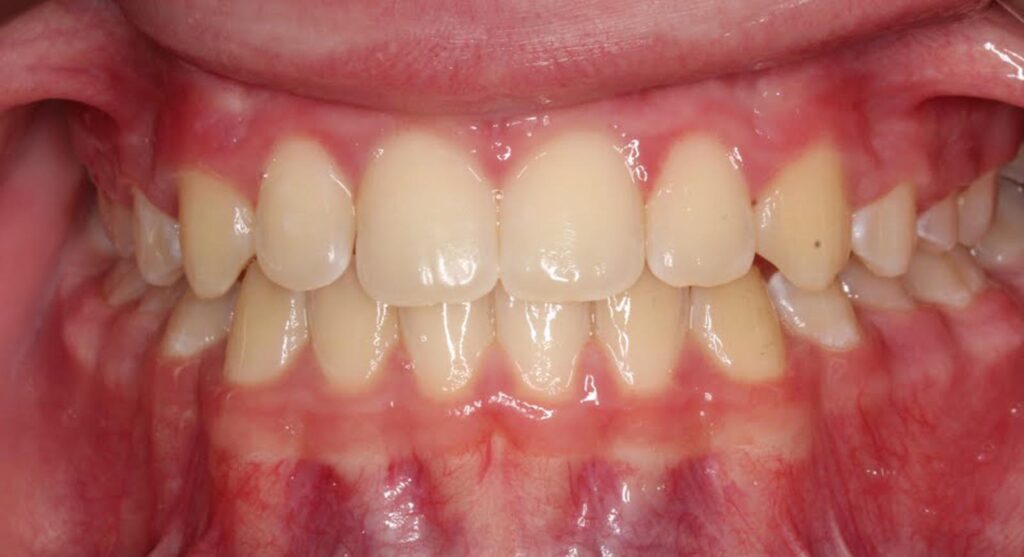
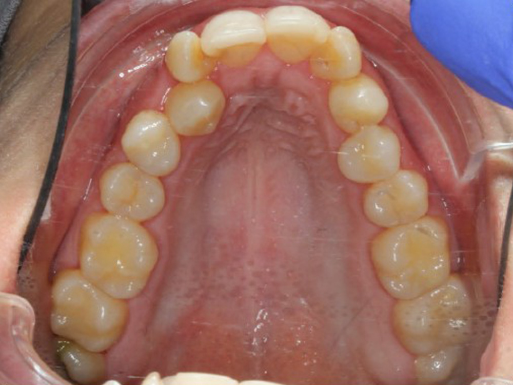
After Metal Braces

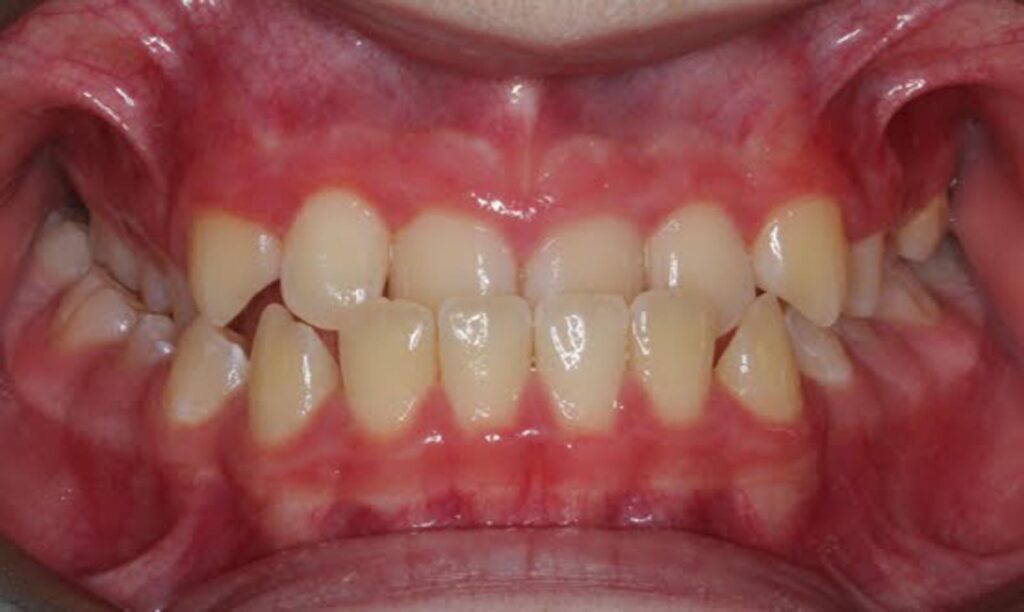
Before

Before Metal Braces

After

Ask the Expert...

A discussion about Metal Braces with Dr. Labib

Dr. Labib
  • How do I care for my braces?

    • Brush after every meal.
    • Floss once a day (use a floss threader or water flosser).
    • Don’t eat hard, sticky, or crunchy foods (like gum, popcorn, or ice).
    • Use wax if the braces are poking.
    • Tell us if anything feels loose or broken.
  • How much do braces cost?

    The cost of orthodontic treatment in our office typically ranges from $4,500–$6,180, depending on the type of treatment, your individual case, and your insurance coverage. We also offer various discounts and flexible payment plans to help make your new smile more affordable.

    Financial & Insurance Information
  • Are braces painful?

    There’s some soreness after adjustments or when starting treatment, especially in the first week. It usually subsides within a few days and can be managed with over-the-counter pain relief.

What are you waiting for?

Schedule an orthodontic consultation with Dr. Labib and see if braces are the right solution for you or your child.

Normandy Lake Dentistry Westside Jacksonville, FL

7885 Normandy Blvd.
Jacksonville, FL 32221
View Map

Hours

Monday, Wednesday, Friday: 8:00 am-4:00 pm
Tuesday, Thursday: 10:00 am-6:00 pm
(Phones are answered 24/7 for scheduling.)

Scheduling Hours

Monday: 24 hours
Tuesday: 24 hours
Wednesday: 24 hours
Thursday: 24 hours
Friday: 24 hours
Saturday: 24 hours
Sunday: 24 hours

Normandy Lake Dentistry Southside Jacksonville, FL

2845 University Blvd W.
Jacksonville, FL 32217
View Map

Hours

Monday, Wednesday, Friday: 8:00 am-4:00 pm
Tuesday, Thursday: 10:00 am-6:00 pm
(Phones are answered 24/7 for scheduling.)

Scheduling Hours

Monday: 24 hours
Tuesday: 24 hours
Wednesday: 24 hours
Thursday: 24 hours
Friday: 24 hours
Saturday: 24 hours
Sunday: 24 hours

Phone

904-293-2520

(904) 783-1633 - Call after hours

Normandy Lake Dentistry Orange Park, FL

2186 Park Avenue, Suite 101
Orange Park, FL 32073
View Map

Hours

Monday, Wednesday, Friday: 8:00 am-4:00 pm
Tuesday, Thursday: 10:00 am-6:00 pm
(Phones are answered 24/7 for scheduling.)

Scheduling Hours

Monday: 24 hours
Tuesday: 24 hours
Wednesday: 24 hours
Thursday: 24 hours
Friday: 24 hours
Saturday: 24 hours
Sunday: 24 hours

Phone

(904) 278-9011

(904) 783-1633 - Call after hours

Normandy Lake Dentistry
Starke, FL

459 W Call St.
Starke, FL 32091
View Map

Hours

Monday: 8:00 am-4:00 pm
Tuesday: 10:00 am-6:00 pm
Wednesday: 8:00 am-4:00 pm
Thursday: 10:00 am-6:00 pm
Friday: 8:00 am-4:00 pm
(Phones are answered 24/7 for scheduling.)

Scheduling Hours

Monday: 24 hours
Tuesday: 24 hours
Wednesday: 24 hours
Thursday: 24 hours
Friday: 24 hours
Saturday: 24 hours
Sunday: 24 hours

Phone

(904) 964-5152

(904) 783-1633 - Call after hours